Crump
2024-11-08T17:08:56+00:00
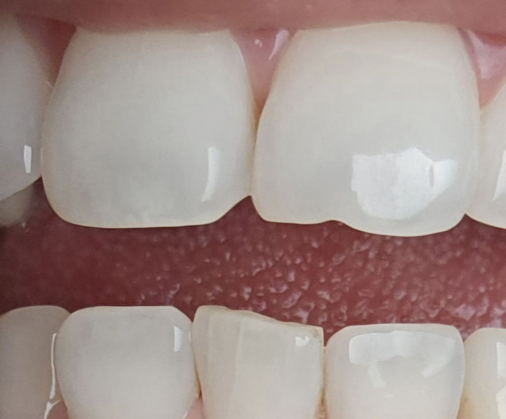
晚上吃汉堡把牙磕碎了一点!
咬下去的时候听到响声,吃完了舔了下门牙才发现缺了,我tm服了这是可是门牙啊,断面还挺锋利的现在没事就割自己舌头和嘴皮玩...
请问目前这样怎么处理比较好呢?咨询了美团上一些牙科诊所都说这位置补牙的话可能一两年就掉了,建议做贴片,但是贴片也就只能保5-10年,以后掉了重新做还得重新打磨牙齿,听得我也不敢做
咬下去的时候听到响声,吃完了舔了下门牙才发现缺了,我tm服了这是可是门牙啊,断面还挺锋利的现在没事就割自己舌头和嘴皮玩...
请问目前这样怎么处理比较好呢?咨询了美团上一些牙科诊所都说这位置补牙的话可能一两年就掉了,建议做贴片,但是贴片也就只能保5-10年,以后掉了重新做还得重新打磨牙齿,听得我也不敢做




